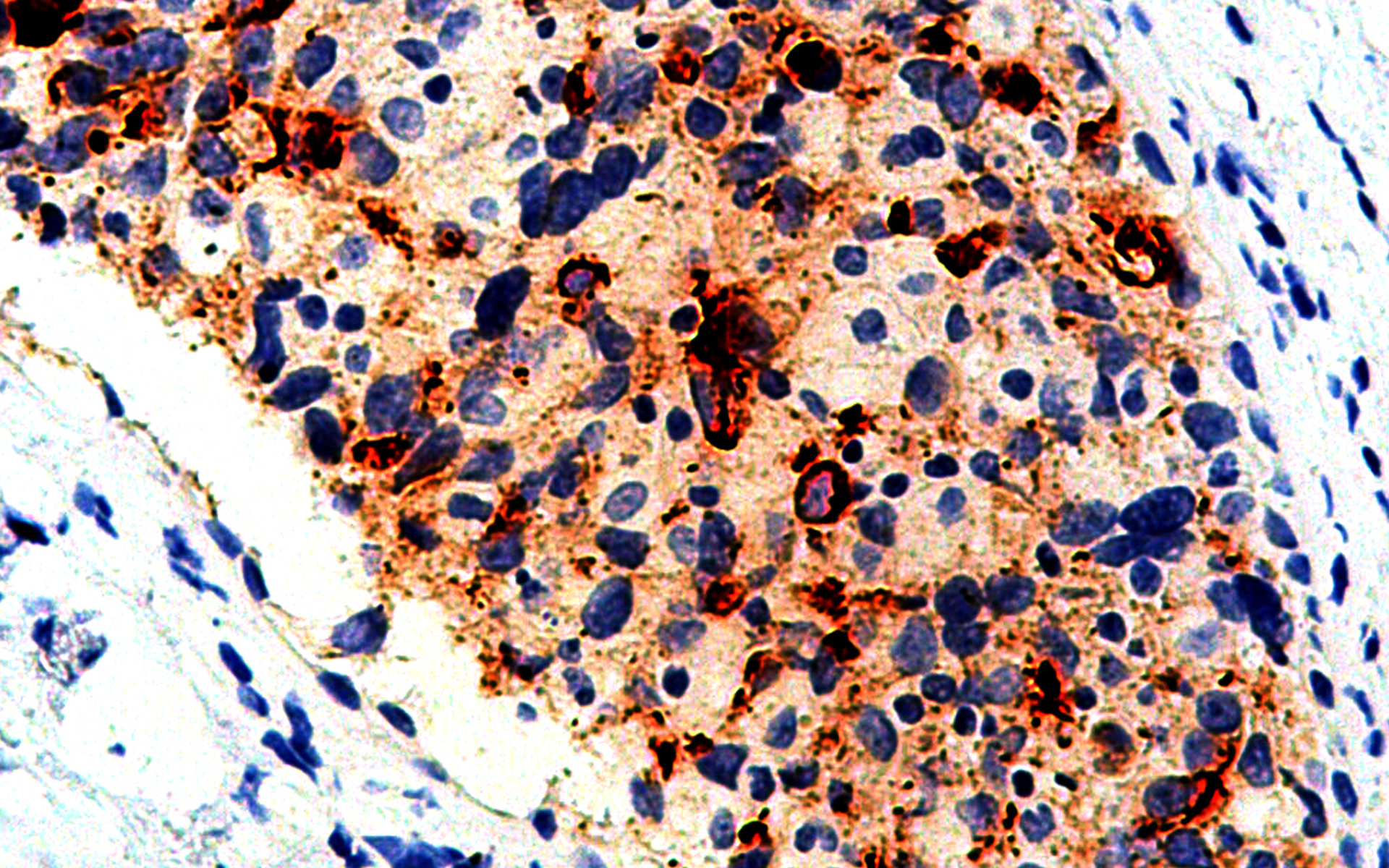
[Genomeme] BCA225

CAT. NO. IHC225-100
Specifications
CLONE:
IHC225
ISOTYPE:
HOST SPECIES:
Mouse
CLONALITY:
Monoclonal
POSITIVE CONTROL:
Breast Carcinoma
DILUTION RANGE:
INTENDED USE/REG. STATUS:
IVDR
The BCA-225 [IHC225] antibody is intended for qualified laboratories to qualitatively identify by light microscopy, the presence of associated antigens in formalin-fixed, paraffin-embedded (FFPE) tissue sections using immunohistochemistry test methods. Use of this antibody is indicated, subsequent to clinical differential diagnoses of diseases, as an aid in the identification of neoplastic tissues within the context of antibody panels, the patient’s clinical history and other diagnostic tests as evaluated by a qualified pathologist.
'Genomeme' 카테고리의 다른 글
| [Genomeme] ALK (0) | 2024.02.19 |
|---|---|
| [Genomeme] Androgen Receptor (1) | 2024.01.02 |
| [Genomeme] Actin, Muscle Specific (0) | 2023.08.30 |
| [Genomeme] Actin, Smooth Muscle (0) | 2023.05.22 |
| [Genomeme] N-cadherin (0) | 2023.05.18 |