[Genomeme] ALK

CAT. NO. IHC509-100
CLONE:
IHC509
ISOTYPE:
IgG2b
HOST SPECIES:
Mouse
CLONALITY:
Monoclonal
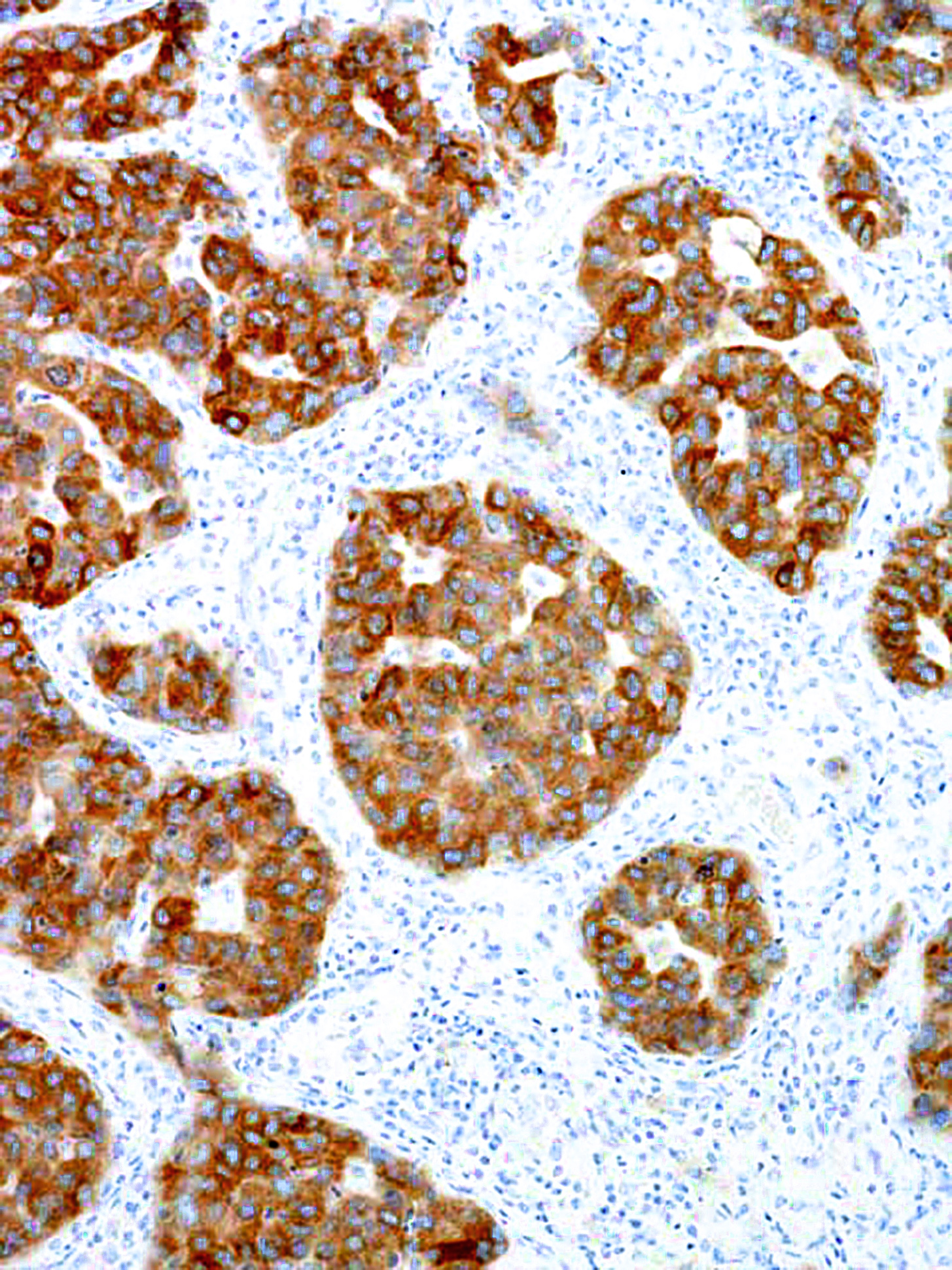
POSITIVE CONTROL:
Anaplastic Large Cell Lymphoma
DILUTION RANGE:
INTENDED USE/REG. STATUS:
IVDR
Anaplastic Lymphoma Kinase (ALK) is a receptor tyrosine kinase which plays a role in brain and nervous system development. ALK is typically expressed at low levels in regions of the developing central and peripheral nervous system, such as the neonatal brain and spinal cord. The most common genetic alterations of this gene are chromosomal translocations, which result in multiple ALK fusion proteins that are involved in tumourigenesis, as in the case of anaplastic large cell lymphoma (ALCL), lung adenocarcinoma, and inflammatory myofibroblastic tumours. Aberrant ALK expression is also found in other tumours such as familial neuroblastoma, non-small cell lung carcinoma (NSCLC), and brain cancers.
'Genomeme' 카테고리의 다른 글
| [Genomeme] Alpha-Fetoprotein (0) | 2024.05.24 |
|---|---|
| [Genomeme] Alpha-Fetoprotein (0) | 2024.03.13 |
| [Genomeme] Androgen Receptor (1) | 2024.01.02 |
| [Genomeme] BCA225 (0) | 2023.11.13 |
| [Genomeme] Actin, Muscle Specific (0) | 2023.08.30 |