본문 바로가기

BioSB14

[BioSB] 2-Core SV-40 Cell Line Microarray [BioSB] 2-Core SV-40 Cell Line Microarray CAT.#PRESENTATIONVOLBSB-0308-CS2-Core SV-40 Cell Line Microarray5 slidesBSB-0308-CS-RUO2-Core SV-40 Cell Line Microarray5 slides Intended UseFor In Vitro Diagnostic Use Summary and ExplanationThe 2-Core SV-40 Cell Line Microarray is an unstained ready-to-use microscope slide consisting of 2 (2 mm) cores of human formalin-fixed paraffin-embedded cell l.. 2025. 9. 23.
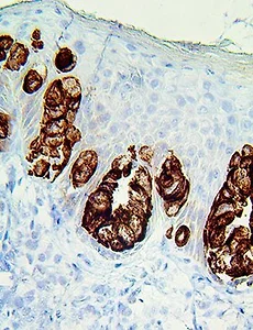
[BioSB] TintoFast Cytokeratin AE1/AE3 (AE1/AE3), MMab [BioSB] TintoFast Cytokeratin AE1/AE3 (AE1/AE3), MMab  Catalog No.Antibody TypeDilutionVolume/QTYBSB 3663TintoFast PredilutedReady-To-Use3.0 mlBSB 3664TintoFast PredilutedReady-To-Use7.0 mlBSB 3665TintoFast PredilutedReady-To-Use15.0 ml  Intended UseFor Mohs In Vitro Diagnostic Use Summary and ExplanationCytokeratins are intermediate-filament keratins found in the intracytoplasmic cytoskeleton o.. 2024. 11. 29.
[BioSB] TintoFast EpCAM BerEP4 (Ber-EP4), MMab [BioSB] TintoFast EpCAM BerEP4 (Ber-EP4), MMab  Catalog No.Antibody TypeDilutionVolume/QTYBSB 3678TintoFast PredilutedReady-To-Use3.0 mlBSB 3679TintoFast PredilutedReady-To-Use7.0 mlBSB 3680TintoFast PredilutedReady-To-Use15.0 ml Intended UseFor Mohs In Vitro Diagnostic Use Summary and ExplanationTintoFast EpCAM BerEP4 is a 40kD cell surface antigen that is broadly distributed in epithelial cell.. 2024. 9. 5.
[BioSB] TintoFast CD31 (1A10), MMab [BioSB] TintoFast CD31 (1A10), MMab Catalog No. Antibody Type Dilution Volume/QTY BSB-3691-3 TintoFast Predilute Ready-To-Use 3.0 ml BSB-3691-7 TintoFast Predilute Ready-To-Use 7.0 ml BSB-3691-15 TintoFast Predilute Ready-To-Use 15.0 ml TintoFast CD31 is also called PECAM-1 for platelet endothelial cell-adhesion molecule. It plays a key role in removing aged neutrophils from the body. CD-31 is n.. 2024. 3. 11.
[BioSB] 11 Core Normal Human Tissue Microarray [BioSB] 11 Core Normal Human Tissue Microarray CAT.# PRESENTATION VOL BSB 0297 11 Core Tissue Microarray 5 slides Intended Use For In Vitro Diagnostic Use Summary and Explanation The 11 Core Normal Human Tissue Microarray (TMA) consist of 11- 2 mm cores of normal human formalin-fixed paraffin-embedded tissues which were assembled in array fashion to allow multiplex molecular pathology analysis a.. 2024. 2. 27.
[BioSB] TintoFast Cytokeratin 5 & 6 (D5/16D4), MMab [BioSB] TintoFast Cytokeratin 5 & 6 (D5/16D4), MMab Catalog No. Antibody Type Dilution Volume/QTY BSB 3666 TintoFast Prediluted Ready-To-Use 3.0 ml BSB 3667 TintoFast Prediluted Ready-To-Use 7.0 ml BSB 3668 TintoFast Prediluted Ready-To-Use 15.0 ml Intended Use For Mohs In Vitro Diagnostic Use Summary and Explanation Cytokeratin 5 (58 kDa) is a high-molecular weight, basic type of cytokeratin ex.. 2023. 5. 8.
[BioSB] TintoFast EpCAM BerEP4 (Ber-EP4), MMab [BioSB] TintoFast EpCAM BerEP4 (Ber-EP4), MMab Intended Use For Mohs In Vitro Diagnostic Use Summary and Explanation TintoFast EpCAM BerEP4 is a 40kD cell surface antigen that is broadly distributed in epithelial cells and displays a highly conserved expression in carcinomas. These glycoproteins are located on the cell membrane surface and in the cytoplasm of virtually all epithelial cells, with.. 2021. 8. 4.
[BioSB] 23 Core Normal Human Tissue Microarray [BioSB] 23 Core Normal Human Tissue Microarray BSB 0298 23 Core Tissue Microarray 5 slides Intended Use For In Vitro Diagnostic Use Summary and Explanation The 23 Core Normal Human Tissue Microarray (TMA) consist of 23 – 2 mm cores of normal human formalin-fixed paraffin-embedded tissues which were assembled in array fashion to allow multiplex molecular pathology analysis and validation of reage.. 2021. 5. 26.