[Genomeme] N-cadherin

CAT. NO. IHC736-100
CLONE:
IHC736
ISOTYPE:
HOST SPECIES:
Rabbit
CLONALITY:
Monoclonal
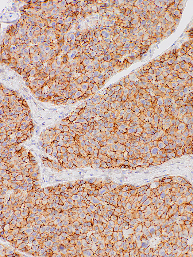
POSITIVE CONTROL:
Brain, Liver
DILUTION RANGE:
Specified in the datasheet
INTENDED USE/REG. STATUS:
IVDR
N-cadherin, also known as Cadherin-2 (CDH2) or Neural Cadherin (NCAD), is a transmembrane cell adhesion molecule that was originally detected in nervous tissue. It plays an important role in embryogenesis, being involved in gastrulation and neural crest development. N-cadherin is found in cancer cells and allows for transendothelial migration, which is a critical process in the metastasis of cancer. Overexpression and disorderly arrangement of N-cadherin has been noted in dilated cardiomyopathy. It has been suggested that, when considered in adjunct with the status of a number of additional cell-cell adhesion molecules, missense mutations in N-cadherin may be a potential indicator of obsessive-compulsive disorder and Tourette disorder.
'Genomeme' 카테고리의 다른 글
| [Genomeme] Actin, Muscle Specific (0) | 2023.08.30 |
|---|---|
| [Genomeme] Actin, Smooth Muscle (0) | 2023.05.22 |
| [Genomeme] ALK (0) | 2023.04.17 |
| [Genomeme] EZH2 (0) | 2022.12.01 |
| [Genomeme] Arginase-1 (0) | 2022.09.28 |