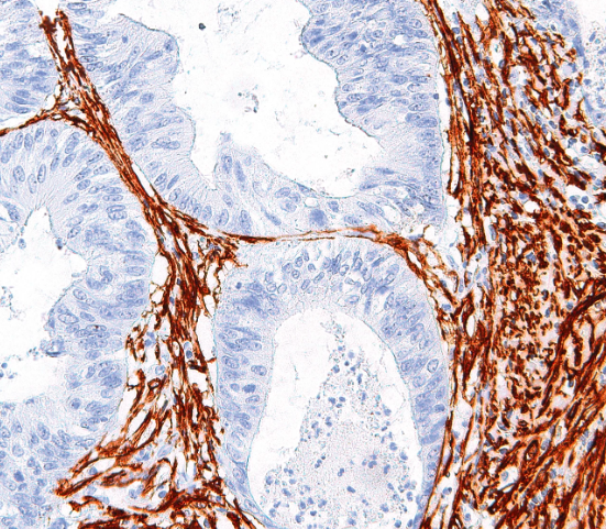
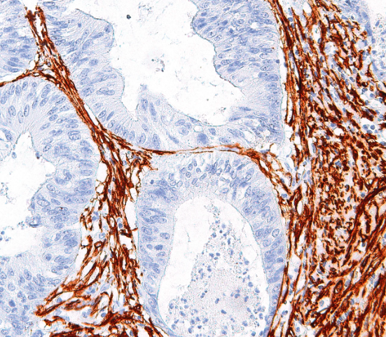
[Genomeme] Actin, Smooth Muscle

CAT. NO. IHC506-100
Specifications
CLONE:
IHC506
ISOTYPE:
IgG2a, kappa
HOST SPECIES:
Mouse
CLONALITY:
Monoclonal
POSITIVE CONTROL:
Appendix, Uterus, Vessel Wall
Actin is part of the cytoskeletal system of all cell types. Smooth muscle actin is found in myofibroblasts and myoepithelium, but not in cardiac or skeletal muscles. Labeling of smooth muscle actin in concert with muscle-specific actin staining can allow for differentiation between rhabdomyosarcoma and leiomyosarcoma, as muscle-specific actin is found in rhabdomyoblasts, while smooth muscle actin is found in leiomyosarcomas.
'Genomeme' 카테고리의 다른 글
| [Genomeme] BCA225 (0) | 2023.11.13 |
|---|---|
| [Genomeme] Actin, Muscle Specific (0) | 2023.08.30 |
| [Genomeme] N-cadherin (0) | 2023.05.18 |
| [Genomeme] ALK (0) | 2023.04.17 |
| [Genomeme] EZH2 (0) | 2022.12.01 |