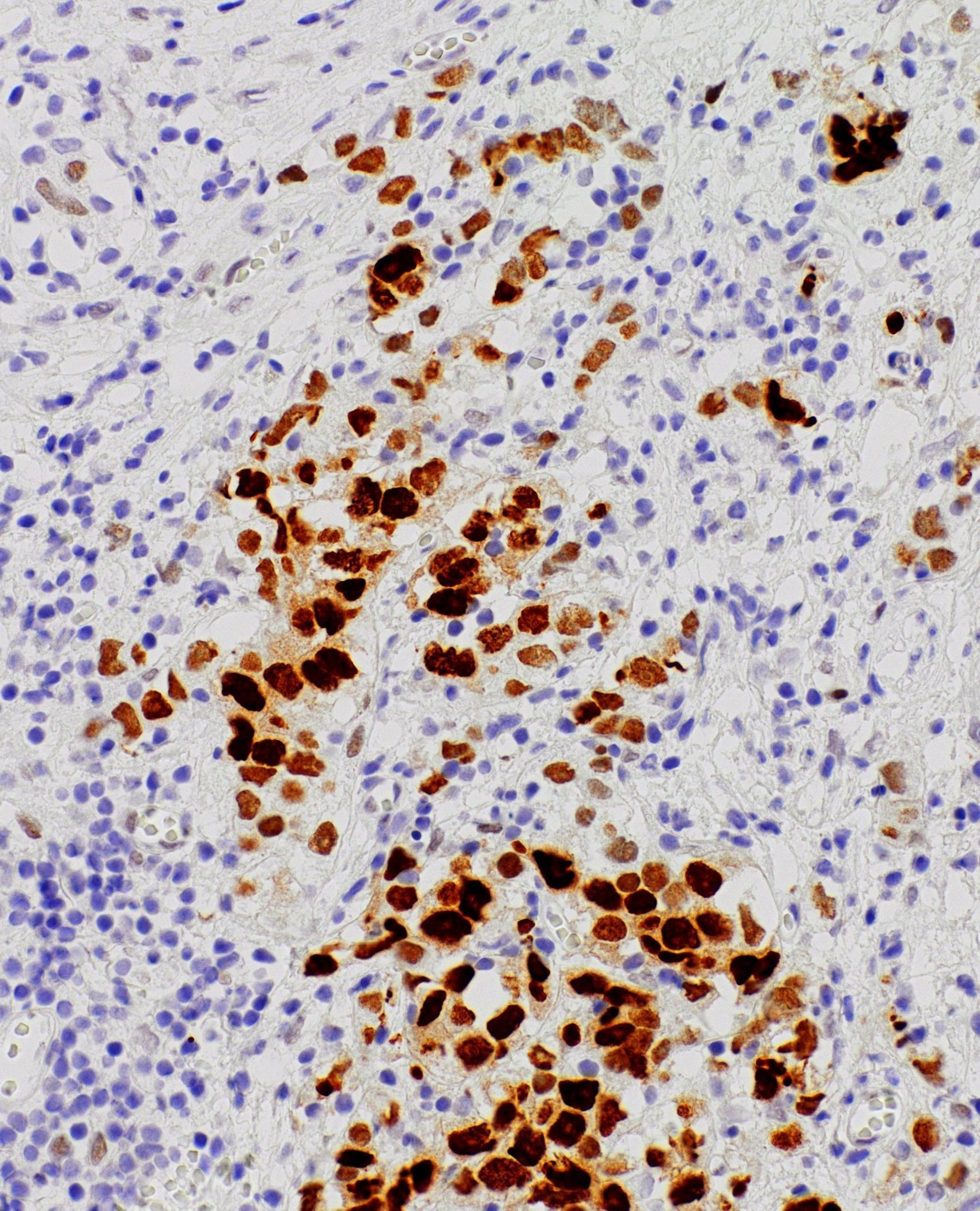
[Genomeme] Androgen Receptor

CAT. NO. IHC511-100
Specifications
CLONE:
IHC037
ISOTYPE:
IgG
HOST SPECIES:
Mouse
CLONALITY:
Monoclonal
POSITIVE CONTROL:
Prostate Carcinoma
DILUTION RANGE:
INTENDED USE/REG. STATUS:
IVDR
The Androgen Receptor [IHC037] antibody is intended for qualified laboratories to qualitatively identify by light
microscopy, the presence of associated antigens in formalin-fixed, paraffin-embedded (FFPE) tissue sections using
immunohistochemistry test methods. Use of this antibody is indicated, subsequent to clinical differential diagnoses of
diseases, as an aid in the identification of neoplastic tissues within the context of antibody panels, the patient’s clinical
history and other diagnostic tests as evaluated by a qualified pathologist.
'Genomeme' 카테고리의 다른 글
| [Genomeme] Alpha-Fetoprotein (0) | 2024.03.13 |
|---|---|
| [Genomeme] ALK (0) | 2024.02.19 |
| [Genomeme] BCA225 (0) | 2023.11.13 |
| [Genomeme] Actin, Muscle Specific (0) | 2023.08.30 |
| [Genomeme] Actin, Smooth Muscle (0) | 2023.05.22 |