[BioSB] TintoFast CD31 (1A10), MMab

| Catalog No. | Antibody Type | Dilution | Volume/QTY |
| BSB-3691-3 | TintoFast Predilute | Ready-To-Use | 3.0 ml |
| BSB-3691-7 | TintoFast Predilute | Ready-To-Use | 7.0 ml |
| BSB-3691-15 | TintoFast Predilute | Ready-To-Use | 15.0 ml |
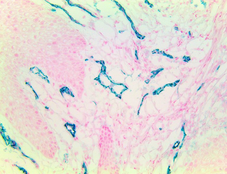
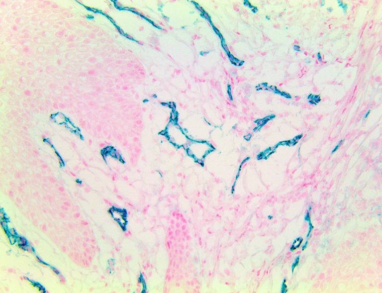
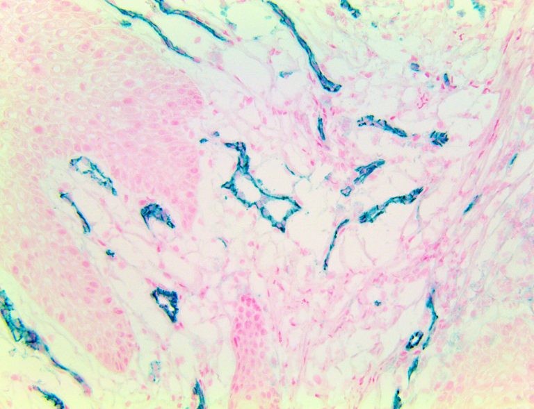
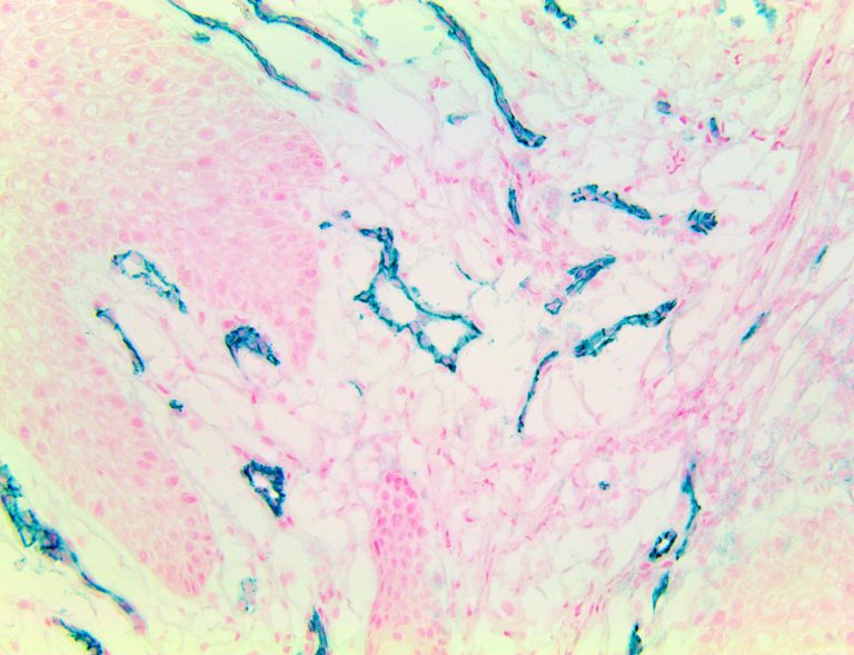
| TintoFast CD31 is also called PECAM-1 for platelet endothelial cell-adhesion molecule. It plays a key role in removing aged neutrophils from the body. CD-31 is normally found on stem cells, endothelial cells, platelets, macrophages and Kupffer cells, granulocytes, T/NK cells, lymphocytes, megakaryocytes, fibroblasts, osteoclasts and neutrophils. CD31 is also expressed in certain tumors, including Epithelioid Hemangioendothelioma, Epithelioid Sarcoma like Hemangioendothelioma, other vascular tumors, Histiocytic malignancies, and Plasmacytomas. It is rarely found in some sarcomas and carcinomas. CD31 and macrophages play a key role in tissue regeneration. TintoFast CD31 is widely used to identify the vascular origin of neoplasms, as it is a highly specific and sensitive marker for vascular endothelial cells. |
||||
| Antibody Type | Mouse Monoclonal | Clone | 1A10 | |
| Isotype | IgG1/K | Reactivity | Paraffin, Frozen | |
| Localization | Cytoplasmic, Membranous | Control | Tonsil, Placenta, Appendix, Spleen, Kidney | |
Mohs IHC Procedure
Specimen Preparation of Mohs Frozen Tissues
- Embed the specimen in OCT inside a cryostat.
- Cut sections at 4-5 µm and mount on a positively charged glass slide such as the Bio SB Hydrophilic Plus Slides (BSB 7028) or in the lower third of the TintoDetector Cap Gap slides (BSB 7006).
- Air dry the slide at room temperature for 2 minutes and then incubate the slide at 60 °C for 3 minutes in an incubator or dry bath.
- Fix in 100% acetone for 2 minutes at room temperature and let the slide air dry.
Pretreatment of Mohs Frozen Tissues
- Preheat the TintoDetector Incubator to 110 °C.
- Place TintoDetector Cap Gap slides (BSB 7006) face to face and insert them into the TintoDetector Slide Holder (BSB 7003).
- Submerge slides in ImmunoDNA Retriever with EDTA to draw up enough solution by capillary action to cover the tissues.
- Heat the slides in a preheated TintoDetector Incubator for 3 minutes.
- Transfer slides to room temperature and cool off for 1 min.
Mohs IHC Detection
- After HIER, transfer slides to ImmunoDNA washer and let it stand for 1-2 minutes.
- For manual staining, perform antibody incubation at ambient temperature. For automated staining methods, perform antibody incubation according to instrument manufacturer’s instructions.
- Wash slides with ImmunoDNA washer or DI water.
- Continue IHC detection protocol. Wash slides between each step with ImmunoDNA washer solution.
Abbreviated Mohs PolyDetector Plus DAB HRP Brown of HRP Green Immunohistochemical Protocol
- Incubate with Primary Antibody for 5 min
- Wash with Buffer (TBST or PBST)
- Incubate with M/R link for 4 min
- Wash with Buffer (TBST or PBST)
- HRP Label for 4 min.
- Wash with Buffer (TBST or PBST)
- Prepare
- DAB Brown (1 drop of DAB Chromogen in 1ml of DAB Buffer; mix well)
- or HRP Green (1 drop of HRP Green Chromogen in 1 ml of HRP Green Buffer; mix well)
- Incubate with DAB or HRP Green for 1-2 min
- Wash with Buffer (TBST or PBST)
- Counterstain with Hematoxylin or Nuclear Fast Red for 30 seconds
- Wash with Buffer (TBST or PBST)
- Mount with AquaMounter or dehydrate the tissue with Fast ChromoProtector then mount with PermaMounter
'BioSB' 카테고리의 다른 글
| [BioSB] TintoFast Cytokeratin AE1/AE3 (AE1/AE3), MMab (0) | 2024.11.29 |
|---|---|
| [BioSB] TintoFast EpCAM BerEP4 (Ber-EP4), MMab (1) | 2024.09.05 |
| [BioSB] 11 Core Normal Human Tissue Microarray (1) | 2024.02.27 |
| [BioSB] TintoFast Cytokeratin 5 & 6 (D5/16D4), MMab (0) | 2023.05.08 |
| [BioSB] TintoFast EpCAM BerEP4 (Ber-EP4), MMab (0) | 2021.08.04 |