[BioSB] TintoFast EpCAM BerEP4 (Ber-EP4), MMab

| Catalog No. | Antibody Type | Dilution | Volume/QTY |
| BSB 3678 | TintoFast Prediluted | Ready-To-Use | 3.0 ml |
| BSB 3679 | TintoFast Prediluted | Ready-To-Use | 7.0 ml |
| BSB 3680 | TintoFast Prediluted | Ready-To-Use | 15.0 ml |
| Intended Use | For Mohs In Vitro Diagnostic Use | |||
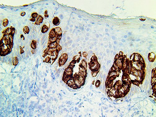
| Summary and Explanation | TintoFast EpCAM BerEP4 is a 40kD cell surface antigen that is broadly distributed in epithelial cells and displays a highly conserved expression in carcinomas. These glycoproteins are located on the cell membrane surface and in the cytoplasm of virtually all epithelial cells, with the exception of most squamous epithelia, hepatocytes, renal proximal tubular cells, gastric parietal cells and myoepithelial cells. However, focal positivity may be seen in the basal layer of squamous cell epithelium of endoderm (e.g., palatine tonsils) and mesoderm (e.g., uterine cervix). TintoFast EpCAM BerEP4 expression has been reported to be a possible marker of early malignancy, with expression being increased in tumor cells, and de novo expression being seen in dysplastic squamous epithelium. Epithelial specific antigen has been known to play an important role as a tumor-cell marker in lymph nodes from patients with esophageal carcinoma. EpCAM can be used to distinguish among Basal Cell, Basosquamous Carcinomas and Squamous Cell Carcinomas of the skin. |
|||
| Antibody Type | Mouse Monoclonal | Clone | Ber-EP4 | |
| Isotype | IgG1/K | Reactivity | Paraffin, Frozen | |
| Localization | Cytoplasmic | Control | BCC, EMPD | |
| Presentation | Anti – EpCAM BerEP4 is a mouse monoclonal antibody derived from cell culture supernatant that is concentrated, dialyzed, filter sterilized and diluted in buffer pH 7.5, containing BSA and sodium azide as a preservative. | |||
Mohs IHC Procedure
Specimen Preparation of Mohs Frozen Tissues
- Embed the specimen in OCT inside a cryostat.
- Cut sections at 4-5 µm and mount on a positively charged glass slide such as the Bio SB Hydrophilic Plus Slides (BSB 7028) or in the lower third of the TintoDetector Cap Gap slides (BSB 7006).
- Air dry the slide at room temperature for 2 minutes and then incubate the slide at 60 °C for 3 minutes in an incubator or dry bath.
- Fix in 100% acetone for 2 minutes at room temperature and let the slide air dry.
Pretreatment of Mohs Frozen Tissues
- Preheat the TintoDetector Incubator to 110 °C.
- Place TintoDetector Cap Gap slides (BSB 7006) face to face and insert them into the TintoDetector Slide Holder (BSB 7003).
- Submerge slides in ImmunoDNA Retriever with EDTA to draw up enough solution by capillary action to cover the tissues.
- Heat the slides in a preheated TintoDetector Incubator for 3 minutes.
- Transfer slides to room temperature and cool off for 1 min.
Mohs IHC Detection
- After HIER, transfer slides to ImmunoDNA washer and let it stand for 1-2 minutes.
- For manual staining, perform antibody incubation at ambient temperature. For automated staining methods, perform antibody incubation according to instrument manufacturer’s instructions.
- Wash slides with ImmunoDNA washer or DI water.
- Continue IHC detection protocol. Wash slides between each step with ImmunoDNA washer solution.
Abbreviated Mohs PolyDetector Plus DAB HRP Brown of HRP Green Immunohistochemical Protocol
- Incubate with Primary Antibody for 5 min
- Wash with Buffer (TBST or PBST)
- Incubate with M/R link for 4 min
- Wash with Buffer (TBST or PBST)
- HRP Label for 4 min.
- Wash with Buffer (TBST or PBST)
- Prepare
- DAB Brown (1 drop of DAB Chromogen in 1ml of DAB Buffer; mix well)
- or HRP Green (1 drop of HRP Green Chromogen in 1 ml of HRP Green Buffer; mix well)
- Incubate with DAB or HRP Green for 1-2 min
- Wash with Buffer (TBST or PBST)
- Counterstain with Hematoxylin or Nuclear Fast Red for 30 seconds
- Wash with Buffer (TBST or PBST)
- Mount with AquaMounter or dehydrate the tissue with Fast ChromoProtector then mount with PermaMounter


| Step | Mohs PolyDetector HRP Green or DAB 20 Minute Protocol |
| HIER | 3 min. |
| Primary Antibody | 5 min. |
| 1st Step Detection | 4 min. |
| 2nd Step Detection | 4 min. |
| Substrate-Chromogen | 1-2 min. |
| Counterstain / Coverslip | Varies |
'BioSB' 카테고리의 다른 글
| [BioSB] 2-Core SV-40 Cell Line Microarray (0) | 2025.09.23 |
|---|---|
| [BioSB] TintoFast Cytokeratin AE1/AE3 (AE1/AE3), MMab (0) | 2024.11.29 |
| [BioSB] TintoFast CD31 (1A10), MMab (0) | 2024.03.11 |
| [BioSB] 11 Core Normal Human Tissue Microarray (1) | 2024.02.27 |
| [BioSB] TintoFast Cytokeratin 5 & 6 (D5/16D4), MMab (0) | 2023.05.08 |