[Genomeme] EZH2

CAT. NO. IHC570-7
CLONE:
IHC570
ISOTYPE:
IgG1
HOST SPECIES:
Mouse
CLONALITY:
Monoclonal
POSITIVE CONTROL:
Prostate Adenocarcinoma, Tonsil, Breast Carcinoma
DILUTION RANGE:
INTENDED USE/REG. STATUS:
IVDR
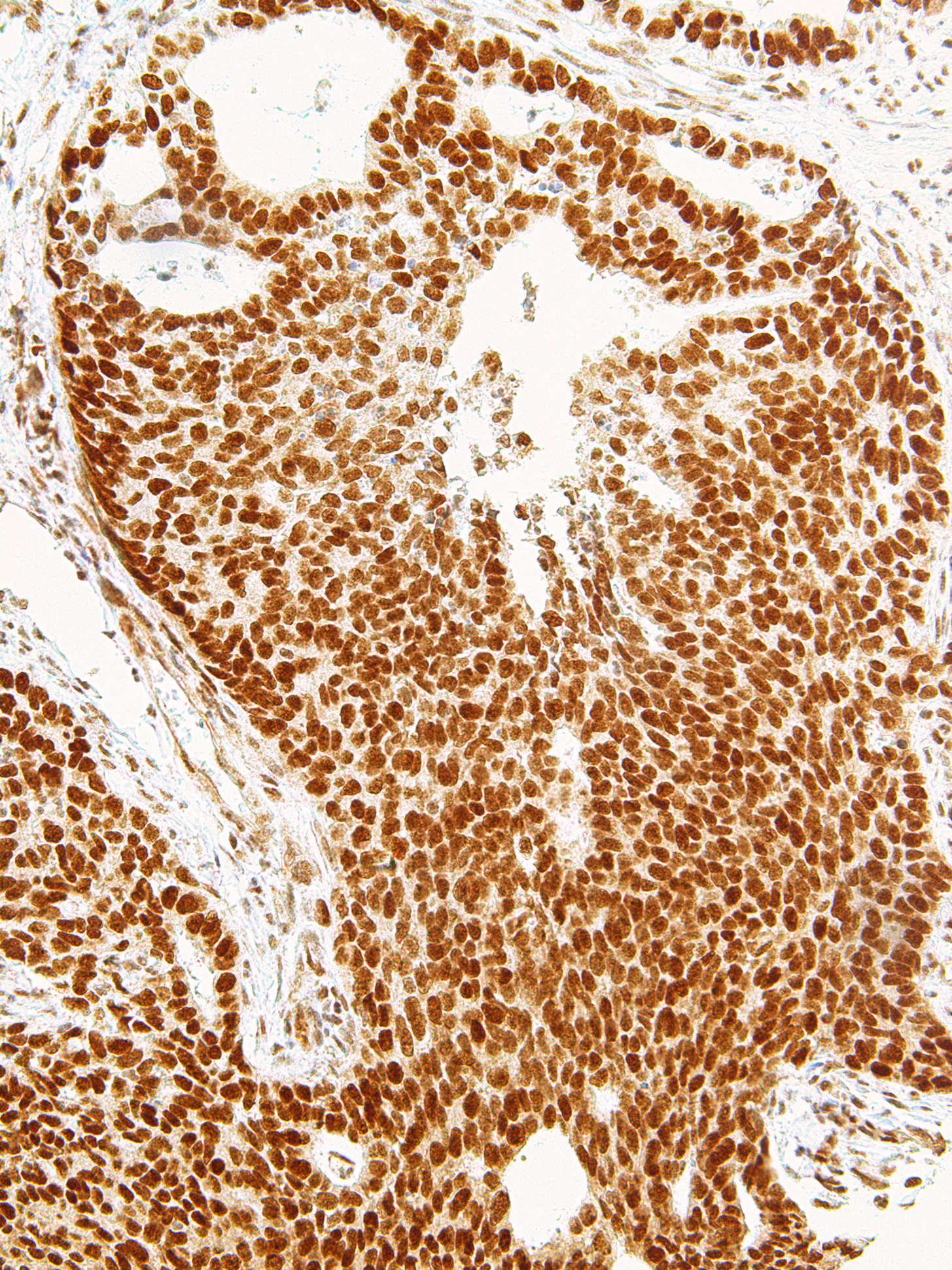
Enhancer of Zeste Homolog 2 (EZH2) is a methylase of histone H3 that silences gene expression in those regions. EZH2 is overexpressed or mutated in gastric, prostate, uterine, breast, and renal cell cancers, as well as in melanoma and most B- and T-cell lymphomas. Although EZH2 is usually present in follicular centers, it is not expressed in the mantle zones, plasma cells, follicular or interfollicular T-lymphocytes, natural killer T-lymphocytes, plasmacytoma, lymphoplasmacytic lymphoma, or MALT lymphoma. EZH2 is rarely present in normal breast duct epithelium and in normal and hyperplastic lymph node. Anti-EZH2 is also useful for detecting lymphoma and non-small cell lung cancers. EZH2 is associated with tumour proliferation and can be used in staining panels to distinguish aggressive lymphomas from less aggressive lymphomas or normal cells.
'Genomeme' 카테고리의 다른 글
| [Genomeme] N-cadherin (0) | 2023.05.18 |
|---|---|
| [Genomeme] ALK (0) | 2023.04.17 |
| [Genomeme] Arginase-1 (0) | 2022.09.28 |
| [Genomeme] HER2/neu (0) | 2022.08.18 |
| [Genomeme] Fibronectin (0) | 2022.06.24 |