[BioSB] Kappa – RPab

| Catalog No. | Antibody Type | Dilution | Volume/QTY |
| BSB 3086 | Prediluted | Ready-To-Use* | 3.0 ml |
| BSB 3087 | Prediluted | Ready-To-Use* | 7.0 ml |
| BSB 3088 | Prediluted | Ready-To-Use* | 15.0 ml |
| BSB 3089 | Concentrated | 1:500 / 1:5 | 0.1 ml |
| BSB 3090 | Concentrated | 1:500 / 1:5 | 0.5 ml |
| BSB 3091 | Concentrated | 1:500 / 1:5 | 1.0 ml |
| BSB 3688 | Control Slides | 5 |
| Intended Use |
For In Vitro Diagnostic Use. This antibody is intended for use in Immunohistochemical (IHC) and Immunofluorescence (IF) applications on formalin-fixed paraffin-embedded tissues (FFPE), frozen tissue sections and cell preparations. Interpretation of results should be performed by a qualified medical professional. |
|||
| Summary and Explanation |
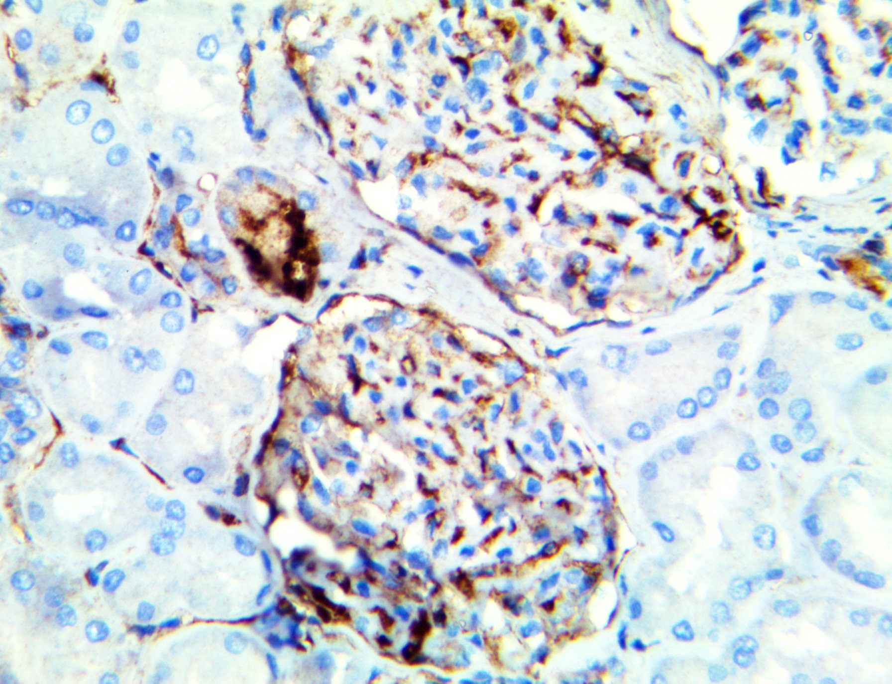
Kappa detects surface immunoglobulin on normal and neoplastic B-cells. In paraffin-embedded tissue, Kappa exhibits strong staining of kappa-positive plasma cells and cells that have absorbed exogenous immunoglobulin.
When studying B-cell neoplasms, the determination of light-chain ratios remains the centerpiece. This is sound reasoning because most B-cell Lymphomas express either Kappa or Lambda light chains, whereas reactive proliferations display a mixture of Kappa and Lambda-positive cells. If only a single light-chain type is detected, a lympho-proliferative disorder is very likely. Monoclonality is determined by a Kappa-Lambda ratio greater than or equal to 3:1, a Lambda-Kappa ratio greater than or equal to 2:1, or a monoclonal population of 75% or more of the total population. In IgG-dominant immune complex-mediated glomerulonephritis, there are multiple pathological findings that strongly suggest the diagnosis of Lupus Nephritis including immunofluorescence staining for IgG, IgM, IgA, Kappa or Lambda, C3 and C1. |
|||
| Antibody Type | Rabbit Polyclonal | Clone | Polyclonal | |
| Isotype | IgG | Reactivity | Paraffin, Frozen | |
| Localization | Cytoplasmic | Control | Tonsil, Lymph Node | |
| Presentation | Kappa is a purified immunoglobulin fraction of rabbit antiserum that is filter sterilized and diluted in buffer pH 7.5, containing BSA and sodium azide as a preservative. | |||
'BioSB' 카테고리의 다른 글
| [BioSB] ZytoLight FlexISH Probes and Kits (0) | 2021.05.17 |
|---|---|
| [BioSB] TintoFast CD34 – MMab (0) | 2021.02.03 |
| [BioSB] CD20 – MMab (0) | 2020.09.01 |
| [BioSB] TintoFast Cytokeratin MNF116 – MMab (0) | 2020.01.09 |
| [BioSB] TintoFast Cytokeratin CAM5.2 - MMab (0) | 2020.01.02 |