[BioSB] TintoFast Cytokeratin MNF116 – MMab

| Catalog No. | Antibody Type | Dilution | Volume/QTY |
| BSB 3672 | TintoFast Prediluted | Ready-To-Use | 3.0 ml |
| BSB 3673 | TintoFast Prediluted | Ready-To-Use | 7.0 ml |
| BSB 3674 | TintoFast Prediluted | Ready-To-Use | 15.0 ml |
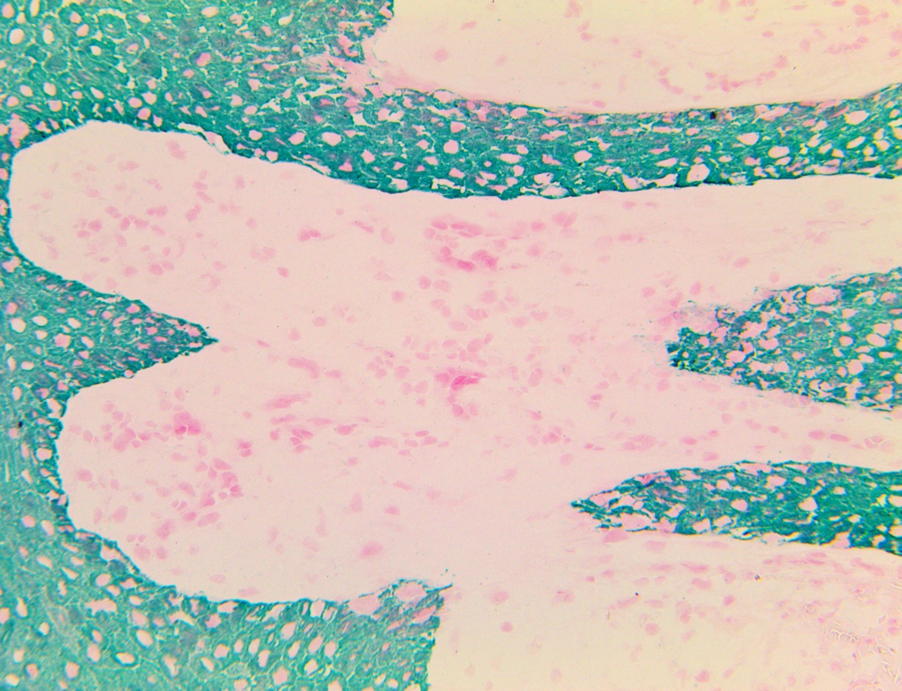
| Intended Use For Mohs In Vitro Diagnostic Use Summary and Explanation Cytokeratin MNF116 is a broad-spectrum anti-cytokeratin reacting with intermediate and low-molecular-weight keratins, ranging from 40 through 58 kD, corresponding to cytokeratin 5, 6, 8, 17 and 19. It shows a broad pattern of reactivity with human epithelial tissues from simple glandular epithelial to stratified squamous epithelia, like epidermis, mammary gland ducts, and tracheal epithelium. Cytokeratin MNF116 is a useful aid for the classification of neoplasms of epithelial origin including Squamous Cell Carcinoma, Small Cell Carcinoma, Sarcomatoid Carcinoma, Spindle Cell Carcinoma, Epithelioid and Spindle Cell component of Malignant Mesothelioma and Adenocarcinoma. A wide range of soft tissue tumors are also positive with cytokeratin MNF116: monophasic and biphasic Synovial Sarcoma, vascular neoplasms including Epithelioid Hemangioendothelioma, Epithelioid Angiosarcoma, Epithelioid Sarcoma. Desmoplastic Small Round Cell Tumors require cytokeratin positivity for diagnosis. Smooth muscle tumors and Plasmacytoma may demonstrate aberrant expression of cytokeratin MNF116. Antibody Type Mouse Monoclonal Clone MNF116 Isotype IgG1 Reactivity Paraffin, Frozen Localization Cytoplasmic Control SCC, BCC Presentation Anti – Cytokeratin MNF116 is a mouse monoclonal antibody derived from cell culture supernatant that is concentrated, dialyzed, filter sterilized and diluted in buffer pH 7.5, containing BSA and sodium azide as a preservative. Mohs IHC Procedure Specimen Preparation of Mohs Frozen Tissues Embed the specimen in OCT inside a cryostat. Cut sections at 4-5 µm and mount on a positively charged glass slide such as the Bio SB Hydrophilic Plus Slides (BSB 7028) or in the lower third of the TintoDetector Cap Gap slides (BSB 7006). Air dry the slide at room temperature for 2 minutes and then incubate the slide at 60 °C for 3 minutes in an incubator or dry bath. Fix in 100% acetone or 10% NBF for 2 minutes at room temperature. Using NBF 10% produces better morphology. Rinse with distilled water and air dry the slides for another 2 minutes at room temperature. IHC Detection Procedure Transfer slides to ImmunoDNA washer, TBST or PBST buffer. For manual staining, perform antibody incubation at ambient temperature. For automated staining methods, perform antibody incubation according to instrument manufacturer’s instructions. Wash slides with ImmunoDNA washer, TBST, PBST or DI water. Continue IHC detection protocol. Wash slides between each step with ImmunoDNA washer, Tris or PBS Buffer solution. Abbreviated Mohs Immunohistochemical Protocol Do HIER with Citrate in Pressure Cooker (100 – 121 °C ) for 1 min. Cool off Wash with Buffer (TBST or PBST) Do PIER, proteolytic Digestion, with Mohs ImmunoDigestor for 30 sec. Wash with Buffer (TBST or PBST) Incubate slides with Peroxidase Blocker for 30 seconds Wash with Buffer (TBST or PBST) Incubate CK MNF116 for 4 min Wash with Buffer (TBST or PBST) Incubate with HRP Label for 3 min. Wash with Buffer (TBST or PBST) PrepareDAB Brown (1 drop of DAB chromogen in 1 ml of DAB Buffer; mix well) or HRP Green (1 drop of HRP Green chromogen in 1 ml of HRP Green Buffer, mix well) Incubate with DAB or HRP Green for 2 min Wash with Buffer (TBST or PBST) Counterstain with Hematoxylin or Nuclear Fast Red for 30 seconds Wash with Buffer (TBST or PBST) Mount with AquaMounter or PermaMounter For best results with the IHC of CK MNF116, we recommend using Mohs Frozen sections fixed NBF 10% for 2 min., then HIER with Citrate at 100 – 110 °C for 2 min., plus PIER with Mohs ImmunoDigestor (BSB 0324 – 0326 )at room temperature for 30 sec. This protocol can also be used with FFPE Tissues retrieved with Citrate or EDTA. |
'BioSB' 카테고리의 다른 글
| [BioSB] ZytoLight FlexISH Probes and Kits (0) | 2021.05.17 |
|---|---|
| [BioSB] TintoFast CD34 – MMab (0) | 2021.02.03 |
| [BioSB] CD20 – MMab (0) | 2020.09.01 |
| [BioSB] Kappa – RPab (0) | 2020.01.15 |
| [BioSB] TintoFast Cytokeratin CAM5.2 - MMab (0) | 2020.01.02 |