[BioSB] TintoFast CD34 – MMab

| Catalog No. | Antibody Type | Dilution | Volume/QTY |
| BSB 3681 | TintoFast Prediluted | Ready-To-Use | 3.0 ml |
| BSB 3682 | TintoFast Prediluted | Ready-To-Use | 7.0 ml |
| BSB 3683 | TintoFast Prediluted | Ready-To-Use | 15.0 ml |
| Intended Use | For Mohs In Vitro Diagnostic Use | |||
| Summary and Explanation |
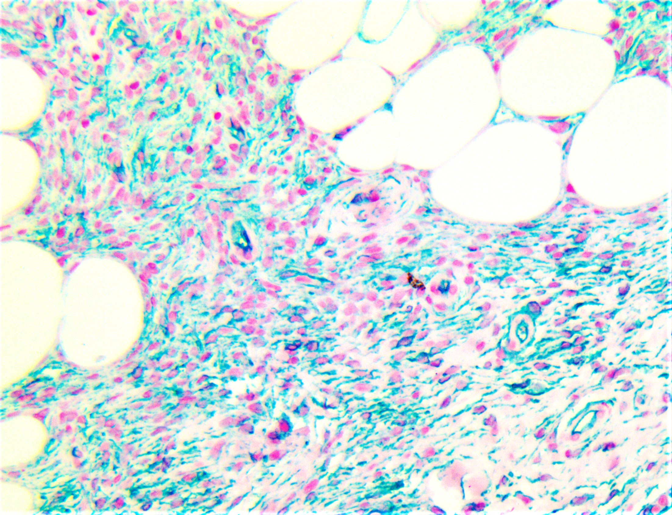
TintoFast CD34 functions as a cell-cell adhesion factor and cell-surface glycoprotein. It may also mediate the attachment of stem cells to bone marrow extracellular matrixes or directly to stromal cells. Cells expressing CD34 are normally found in the umbilical cord and bone marrow as hematopoietic cells, and in vascular endothelium. In addition to stem cell recognition, CD34 is expressed by vascular endothelium; it appears that proliferating endothelial cells express this molecule in greater amounts than resting cells. In comparison to factor VIII R Antigen, CD34 stains are stronger and appear to be more sensitive in nature. In tumors, CD34 is found in Alveolar Soft Part Sarcoma, pre B-ALL (positive in 75%), AML(40%), AMLM7 (most), Dermatofibrosarcoma Protuberans, Gastrointestinal Stromal Tumors, Giant Cell Fibroblastoma, Granulocytic Sarcoma, Kaposi’s Sarcoma, Liposarcoma, Malignant Fibrous Histiocytoma, Malignant Peripheral Nerve Sheath tumors, Meningeal Hemangiopericytomas, Meningiomas, Neurofibromas, Schwannomas, and Papillary Thyroid Carcinoma. A negative CD34 may exclude Ewing’s Sarcoma/PNET, Myofibrosarcoma of the breast, and Inflammatory Myofibroblastic tumors of the stomach. |
|||
| Antibody Type | Mouse Monoclonal | Clone | QBEnd/10 | |
| Isotype | IgG1 | Reactivity | Paraffin, Frozen | |
| Localization | Cytoplasmic, Membranous | Control | Trichoepithelioma, Desmoplastic Trichilemmoma, Dermatofibrosarcoma Protuberans, Kaposi’s Sarcoma | |
| Presentation | TintoFast CD34 is a mouse monoclonal antibody derived from cell culture supernatant that is concentrated, dialyzed, filter sterilized and diluted in buffer pH 7.5, containing BSA and sodium azide as a preservative. | |||
Mohs IHC Procedure
Specimen Preparation of Mohs Frozen Tissues
- Embed the specimen in OCT inside a cryostat.
- Cut sections at 4-5 µm and mount on a positively charged glass slide such as the Bio SB Hydrophilic Plus Slides (BSB 7028) or in the lower third of the TintoDetector Cap Gap slides (BSB 7006).
- Air dry the slide at room temperature for 2 minutes and then incubate the slide at 60 °C for 3 minutes in an incubator or dry bath.
- Fix in 100% acetone for 2 minutes at room temperature.
- Rinse with distilled water and air dry the slides for another 2 minutes at room temperature.
IHC Detection Procedure
- Transfer slides to ImmunoDNA washer, TBST or PBST buffer.
- For manual staining, perform antibody incubation at ambient temperature. For automated staining methods, perform antibody incubation according to instrument manufacturer’s instructions.
- Wash slides with ImmunoDNA washer, TBST, PBST or DI water.
- Continue IHC detection protocol. Wash slides between each step with ImmunoDNA washer, Tris or PBS Buffer solution.
Abbreviated Mohs Immunohistochemical Protocol
- Do HIER with Citrate in Pressure Cooker (100 – 121 °C) for 5 min. Cool off
- Wash with Buffer (TBST or PBST)
- Incubate slides with Peroxidase Blocker for 30 seconds
- Wash with Buffer (TBST or PBST)
- Incubate Primary Antibody for 4 min
- Wash with Buffer (TBST or PBST)
- Incubate with HRP Label for 3 min.
- Wash with Buffer (TBST or PBST)
- Prepare
- DAB Brown (1 drop of DAB chromogen in 1 ml of DAB Buffer; mix well)
- or HRP Green (1 drop of HRP Green chromogen in 1 ml of HRP Green Buffer, mix well)
- Incubate with DAB or HRP Green for 2 min
- Wash with Buffer (TBST or PBST)
- Counterstain with Hematoxylin or Nuclear Fast Red for 30 seconds
- Wash with Buffer (TBST or PBST)
- Mount with AquaMounter or PermaMounter
'BioSB' 카테고리의 다른 글
| [BioSB] 23 Core Normal Human Tissue Microarray (0) | 2021.05.26 |
|---|---|
| [BioSB] ZytoLight FlexISH Probes and Kits (0) | 2021.05.17 |
| [BioSB] CD20 – MMab (0) | 2020.09.01 |
| [BioSB] Kappa – RPab (0) | 2020.01.15 |
| [BioSB] TintoFast Cytokeratin MNF116 – MMab (0) | 2020.01.09 |