[BioSB] TintoFast Cytokeratin CAM5.2 - MMab

| Catalog No. | Antibody Type | Dilution | Volume/QTY |
| BSB 3675 | TintoFast Prediluted | Ready-To-Use | 3.0 ml |
| BSB 3676 | TintoFast Prediluted | Ready-To-Use | 7.0 ml |
| BSB 3677 | TintoFast Prediluted | Ready-To-Use | 15.0 ml |
| Intended Use | For Mohs In Vitro Diagnostic Use | |||
| Summary and Explanation |
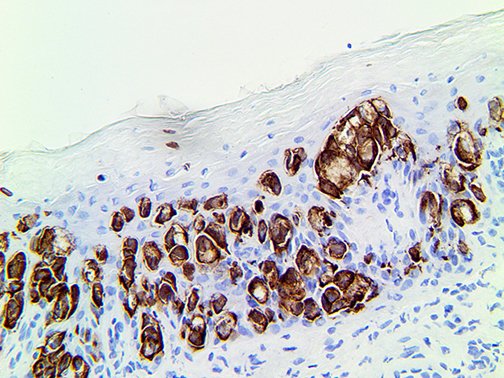
Anti-Cytokeratin CAM5.2 antibody has a primary reactivity with human keratin proteins that correspond to Moll’s peptides #7 and #8, Mr 48 and 52 kDa, respectively. Cytokeratin 7 and 8 are present in secretory epithelia of normal human tissue but not on stratified squamous epithelium. Anti-Cytokeratin (CAM5.2) stains most epithelial-derived tissue, including liver, renal tubular epithelium, and Hepatocellular and Renal Cell Carcinomas. Anti-Cytokeratin (CAM 5.2) may not react with some Squamous Cell Carcinomas. |
|||
| Antibody Type | Mouse Monoclonal | Clone | CAM5.2 | |
| Isotype | IgG2a/K | Reactivity | Paraffin, Frozen | |
| Localization | Cytoplasmic | Control | BCC, Merkel Cell Carcinoma, Mucinous Carcinoma, EMPD | |
| Presentation | Anti-Cytokeratin CAM5.2 is a mouse monoclonal antibody derived from cell culture supernatant that is concentrated, dialyzed, filter sterilized and diluted in buffer pH 7.5, containing BSA and sodium azide as a preservative. | |||
Mohs IHC Procedure
Specimen Preparation of Mohs Frozen Tissues
- Embed the specimen in OCT inside a cryostat.
- Cut sections at 4-5 µm and mount on a positively charged glass slide such as the Bio SB Hydrophilic Plus Slides (BSB 7028) or in the lower third of the TintoDetector Cap Gap slides (BSB 7006).
- Air dry the slide at room temperature for 2 minutes and then incubate the slide at 60 °C for 3 minutes in an incubator or dry bath.
- Fix in 100% acetone or 10% NBF for 2 minutes at room temperature. Using NBF 10% produces better morphology.
- Rinse with distilled water and air dry the slides for another 2 minutes at room temperature.
IHC Detection Procedure
- Transfer slides to ImmunoDNA washer, TBST or PBST buffer.
- For manual staining, perform antibody incubation at ambient temperature. For automated staining methods, perform antibody incubation according to instrument manufacturer’s instructions.
- Wash slides with ImmunoDNA washer, TBST, PBST or DI water.
- Continue IHC detection protocol. Wash slides between each step with ImmunoDNA washer, Tris or PBS Buffer solution.
Abbreviated Mohs Immunohistochemical Protocol
- Do PIER, proteolytic Digestion, with MohsImmunoDigestor for 1 min
- Wash with Buffer (TBST or PBST)
- Incubate slides with Peroxidase Blocker for 30 seconds
- Wash with Buffer (TBST or PBST)
- Incubate CK for 4 min
- Wash with Buffer (TBST or PBST)
- Incubate with HRP Label for 3 min.
- Wash with Buffer (TBST or PBST)
- Prepare
- DAB Brown (1 drop of DAB chromogen in 1 ml of DAB Buffer; mix well)
- or HRP Green (1 drop of HRP Green chromogen in 1 ml of HRP Green Buffer, mix well)
- Incubate with DAB or HRP Green for 2 min
- Wash with Buffer (TBST or PBST)
- Counterstain with Hematoxylin or Nuclear Fast Red for 30 seconds
- Wash with Buffer (TBST or PBST)
- Mount with AquaMounter or PermaMounter
For best results with the IHC of Cytokeratin’s, we recommend using Mohs Frozen sections fixed NBF10% for 2 min., then PIER with Mohs ImmunoDigestor at room tepmarature for 1 min.with acetone for 2 min.

| Step | Mohs PolyDetector HRP Green 5 min Protocol | Mohs PolyDetector HRP Green 10 min Protocol |
| Peroxidase Blocker | 0.5 min. | 0.5 min. |
| Primary Antibody | 2 min | 4 min. |
| 1st Step Detection | 1 min | 3 min. |
| Substrate-Chromogen | 1 min | 2 min. |
| Counterstain / Coverslip | 0.5 min | 0.5 min. |

This protocol can also be used with FFPE Tissues retrieved with Citrate or EDTA.
'BioSB' 카테고리의 다른 글
| [BioSB] ZytoLight FlexISH Probes and Kits (0) | 2021.05.17 |
|---|---|
| [BioSB] TintoFast CD34 – MMab (0) | 2021.02.03 |
| [BioSB] CD20 – MMab (0) | 2020.09.01 |
| [BioSB] Kappa – RPab (0) | 2020.01.15 |
| [BioSB] TintoFast Cytokeratin MNF116 – MMab (0) | 2020.01.09 |