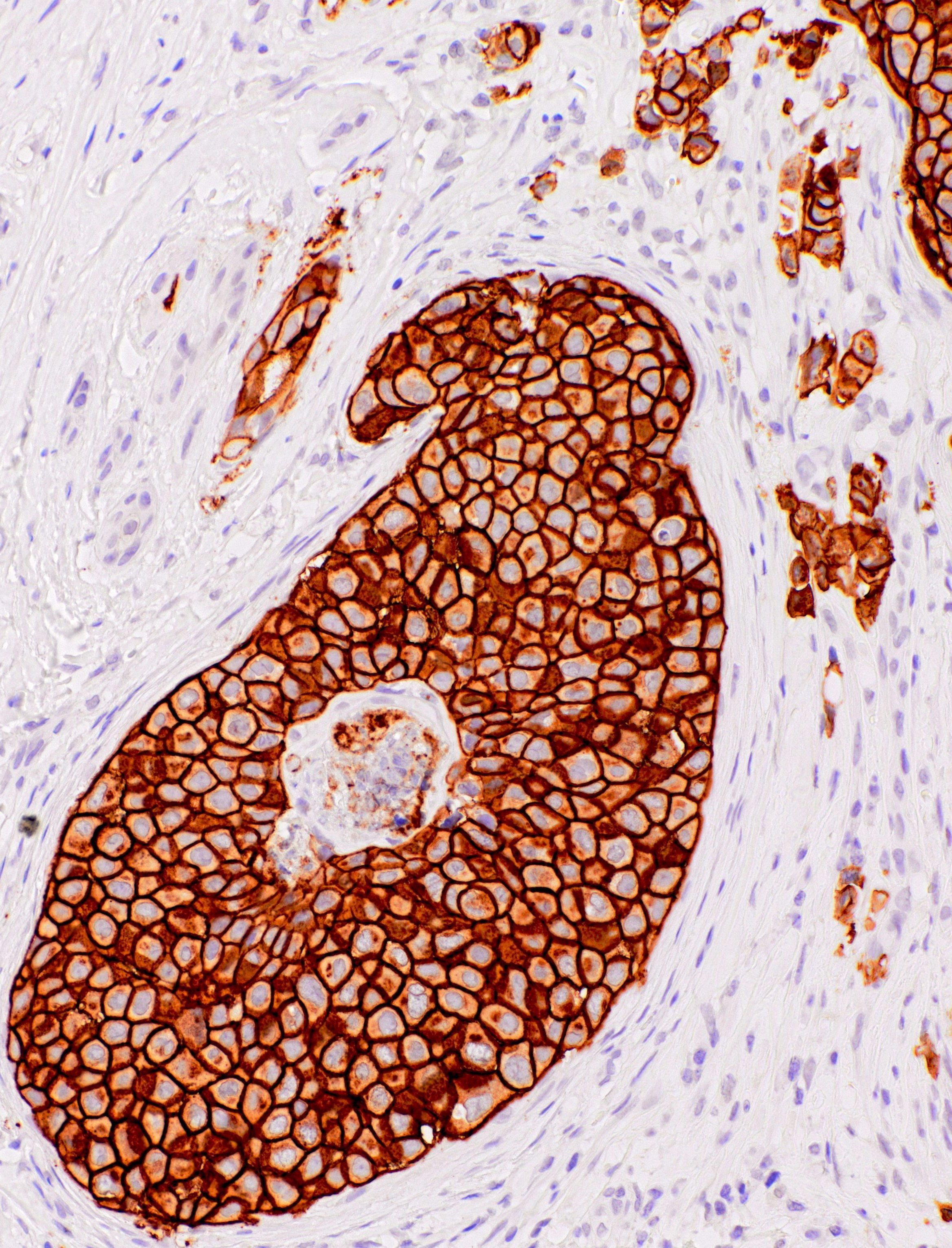
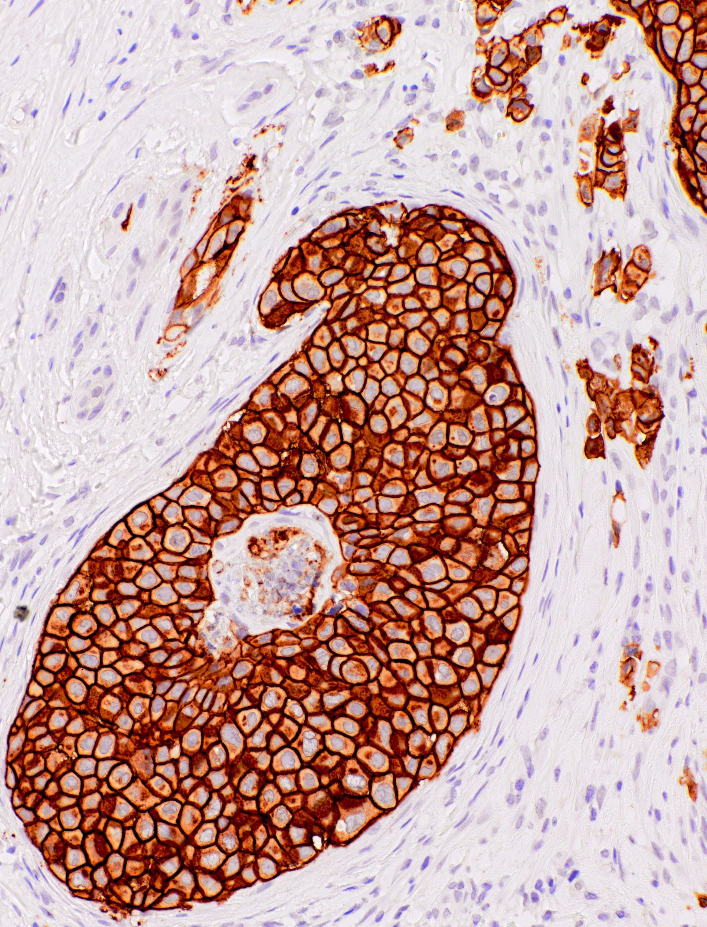
[Genomeme] HER2/neu

CAT. NO. IHC012-1
CLONE:
IHC012
ISOTYPE:
IgG
HOST SPECIES:
Rabbit
CLONALITY:
Polyclonal
POSITIVE CONTROL:
Breast Carcinoma
DILUTION RANGE:
INTENDED USE/REG. STATUS:
RUO
ADDITIONAL INFORMATION:
NordiQC Rating: Good (Assessment Run B32 2021 and Run B33 2022)
The HER2/neu (c-erbB-2) proto-oncogene is a transmembrane receptor tyrosine kinase that is clinically indicated in a number of carcinomas. Overexpression of the c-erbB-2 protein has been associated with ductal breast cancer, as well as pulmonary and gastric adenocarcinomas. A correlation between HER2 and p53 has also been documented, as overexpression of both proteins has been associated with early invasion and metastasis in bladder cancer.
'Genomeme' 카테고리의 다른 글
| [Genomeme] EZH2 (0) | 2022.12.01 |
|---|---|
| [Genomeme] Arginase-1 (0) | 2022.09.28 |
| [Genomeme] Fibronectin (0) | 2022.06.24 |
| [Genomeme] CD73 (0) | 2022.06.14 |
| [Genomeme] EGFR (0) | 2022.06.02 |