[Genomeme] Annexin A1

Cat. No.IHC512-100
Specifications
Clone
IHC512
Source
Mouse Monoclonal
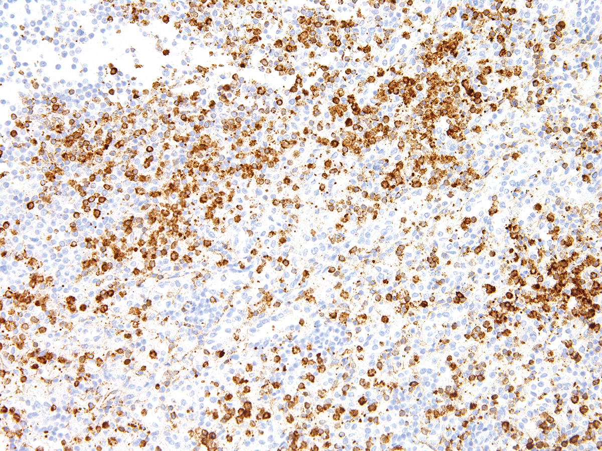
Positive Control
Hairy Cell Leukemia
Dilution Range
1:50-1:200
Description
Annexin A1 (ANXA1) is a membrane protein that plays a role in innate and adaptive immunity by controlling the biosynthesis of inflammation, prostaglandins, and leukotriene mediators. This target is overexpressed in 97% of all samples from patients with with hairy cell leukemia, and is absent in other B-cell lymphomas. High ANXA1 expression is frequently associated with advanced stage esophageal and esophagogastric junction adenocarcinoma, and is also linked to advanced and metastatic disease states.
'Genomeme' 카테고리의 다른 글
| [Genomeme] CD5 (0) | 2020.08.21 |
|---|---|
| [Genomeme] PSAP (0) | 2020.07.02 |
| [Genomeme] Survivin (0) | 2020.05.29 |
| [Genomeme] CDX-2 (0) | 2019.12.31 |
| [Genomeme] CD45R (0) | 2019.12.24 |