[Genomeme] CD45R

Cat. No.
IHC536-100
Specifications
| Clone | IHC536 |
| Source | Mouse Monoclonal |
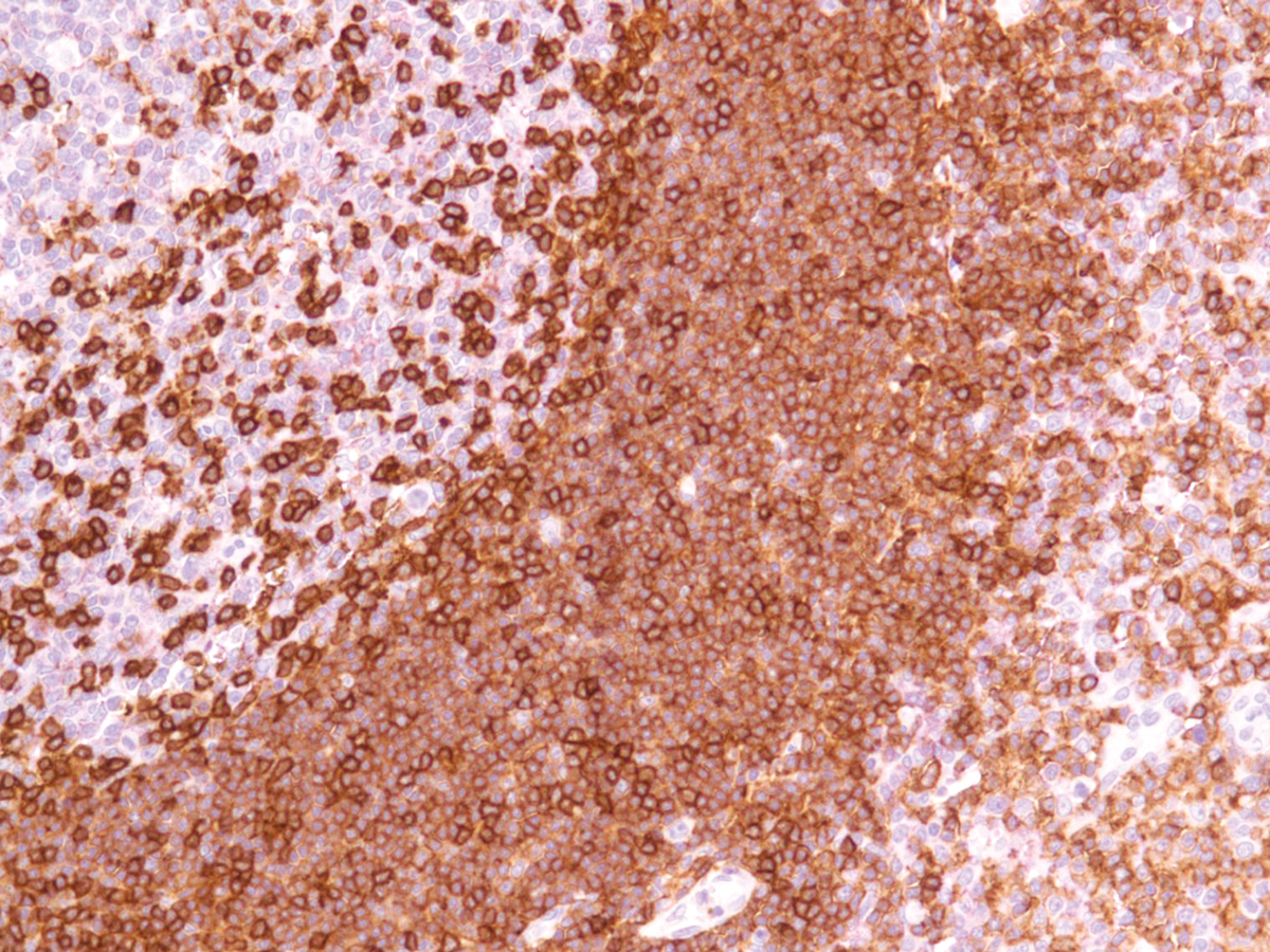
| Positive Control | Lymph Node, Tonsil |
| Dilution Range | 1:50-1:200 |
Description
CD45R, also known as MB1, is an isoform of CD45 that is a member of the protein tyrosine phosphatase (PTPase) family. CD45R is expressed specifically on the surface of hematopoietic cells, and has demonstrated function as a regulator of the antigen and cytokine receptor signalling of B and T cells. Given that the antigen is located in the membrane of all B cells, with the exception of plasma cells and some mature T cells, Anti-CD45R exhibits specific reactivity with most B lymphocytes. The use of Anti-CD45R is primarily useful in distinguishing B cell lymphomas from T cell lymphomas, with specific reactivity to follicle center cells, mantle cells, some medullary thymocytes, and 80% of B cell lymphomas.
'Genomeme' 카테고리의 다른 글
| [Genomeme] CD5 (0) | 2020.08.21 |
|---|---|
| [Genomeme] PSAP (0) | 2020.07.02 |
| [Genomeme] Survivin (0) | 2020.05.29 |
| [Genomeme] Annexin A1 (0) | 2020.01.16 |
| [Genomeme] CDX-2 (0) | 2019.12.31 |