[Genomeme] CDX-2

Cat. No.
IHC402-100
Specifications
| Clone | IHC402 |
| Source | Mouse Monoclonal |
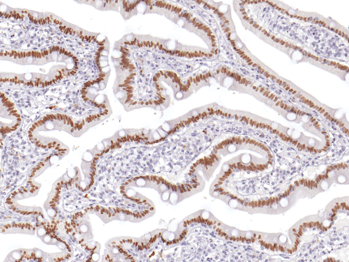
| Positive Control | Colon |
| Dilution Range | 1:50-1:200 |
Description
CDX-2 is a caudal-related homeobox transcription factor that is expressed by intestinal epithelial cells. CDX-2 is a useful marker for gastrointestinal carcinoma, and for determining the origin of gastrointestinal metastatic adenocarcinoma and carcinoids. Anti-CDX-2 is used for differentiating lung and metastatic colorectal adenocarcinoma, however mucinous ovarian carcinoma also react positively with Anti-CDX-2, thereby limiting the ability to differentiate from metastatic colorectal adenocarcinoma.
'Genomeme' 카테고리의 다른 글
| [Genomeme] CD5 (0) | 2020.08.21 |
|---|---|
| [Genomeme] PSAP (0) | 2020.07.02 |
| [Genomeme] Survivin (0) | 2020.05.29 |
| [Genomeme] Annexin A1 (0) | 2020.01.16 |
| [Genomeme] CD45R (0) | 2019.12.24 |