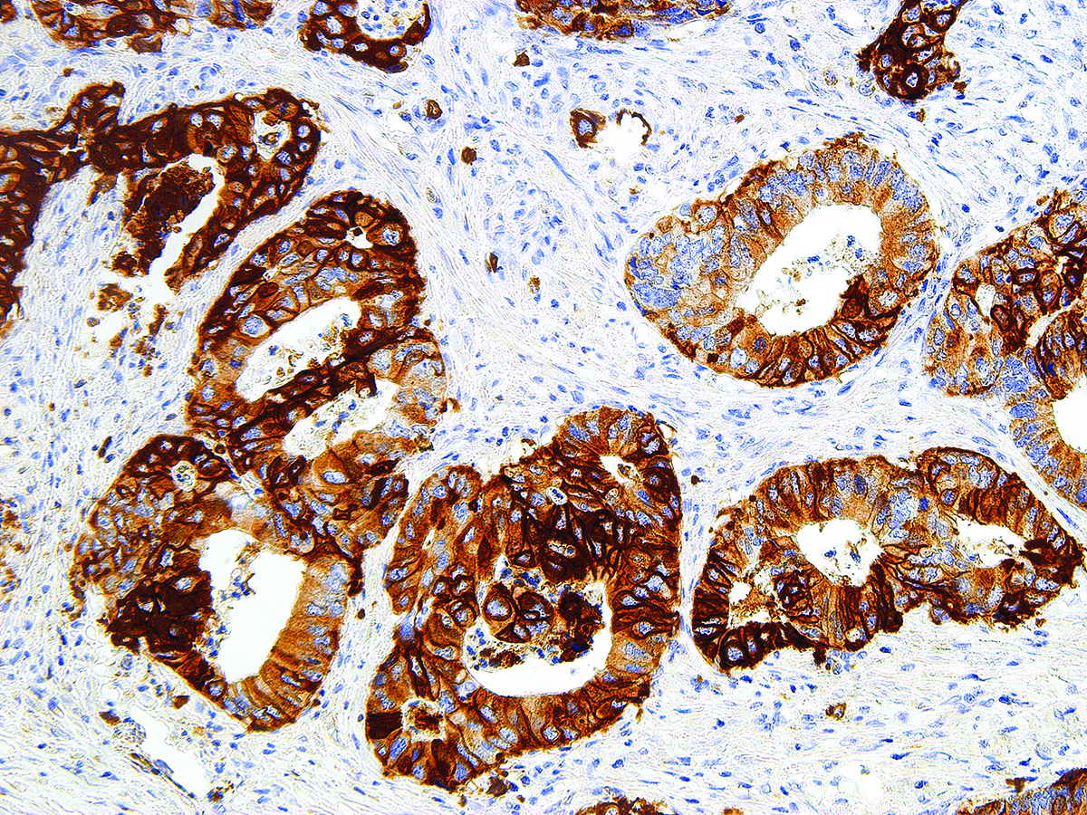
[Genomene] GLUT1

Cat. No.
IHC404-100
Specifications
| Clone | IHC404 |
| Source | Mouse Monoclonal |
| Positive Control | Colorectal Carcinoma, Malignant Mesothelioma |
| Dilution Range | 1:50-1:200 |
Description
Glucose transporter type I (GLUT1), also known as SCL2A1, is a glucose transporter present in the blood-brain barrier as well as erythrocytes. GLUT1 overexpression is associated with tumor progression or poor prognoses of bladder, breast, cervical, colon, and lung carcinomas, as well as mesothelioma. Anti-GLUT1 is useful for distinguishing malignant mesothelioma (GLUT1(+)) from reactive mesothelium (GLUT1(-)).
'Genomeme' 카테고리의 다른 글
| [Genomeme] CD57 (0) | 2021.06.09 |
|---|---|
| [Genomeme] COX-2 (0) | 2021.05.12 |
| [Genomeme] hCG (0) | 2021.01.13 |
| [Genomene] CA-125 (0) | 2020.12.18 |
| [Genomeme] Annexin A1 (0) | 2020.09.14 |