[Genomene] CA-125

Cat. No.
IHC125-100
| Clone | IHC125 |
| Source | Mouse Monoclonal |
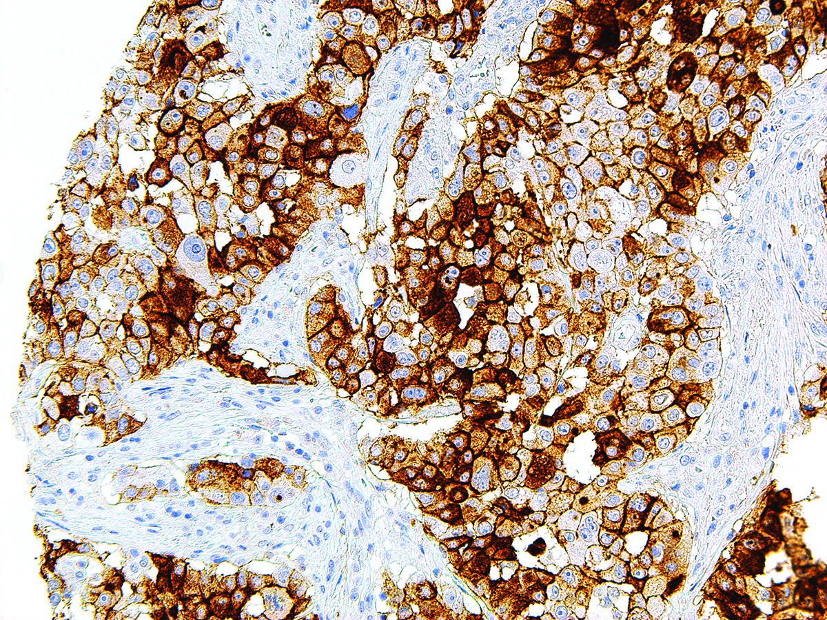
| Positive Control | Ovarian Serous Carcinoma |
| Dilution Range | 1:50-1:200 |
Description
CA-125 is normally found in epithelial cells of Fallopian tube, endometrium and endocervix, pancreas, colon, gall bladder, stomach, kidney, apocrine sweat gland, mammary gland, and mesothelial cell lining of pleura, pericardium and the peritoneum. Staining with CA-125 reacts positively with ovarian malignancies, cervical carcinoma, endometrial and bladder adenocarcinoma, seminal vesicle carcinoma, and anaplastic lymphoma.
'Genomeme' 카테고리의 다른 글
| [Genomene] GLUT1 (0) | 2021.04.13 |
|---|---|
| [Genomeme] hCG (0) | 2021.01.13 |
| [Genomeme] Annexin A1 (0) | 2020.09.14 |
| [Genomeme] CD5 (0) | 2020.08.21 |
| [Genomeme] PSAP (0) | 2020.07.02 |