[Genomeme] hCG

Cat. No.
IHC593-100
| Clone | IHC593 |
| Source | Mouse Monoclonal |
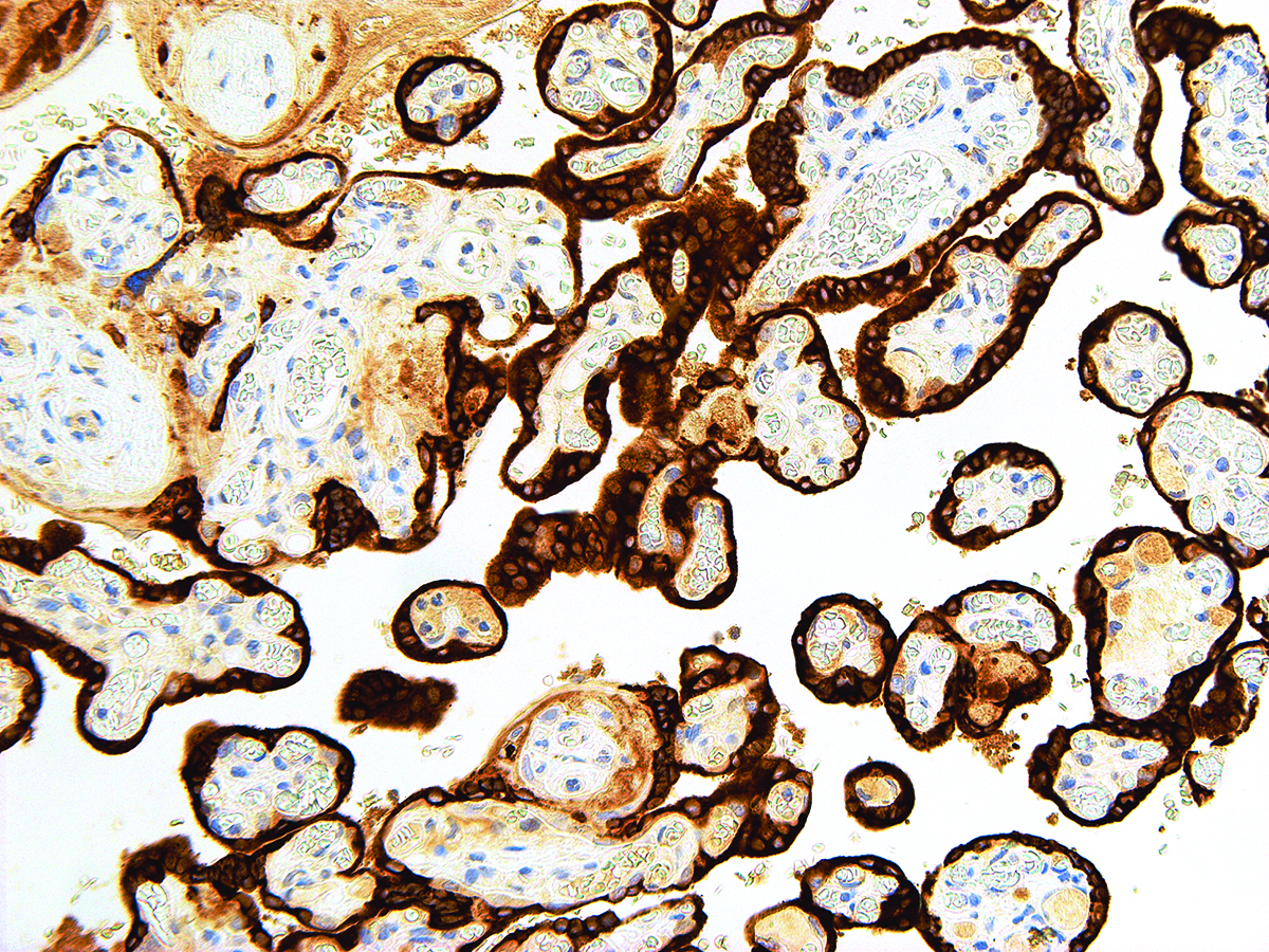
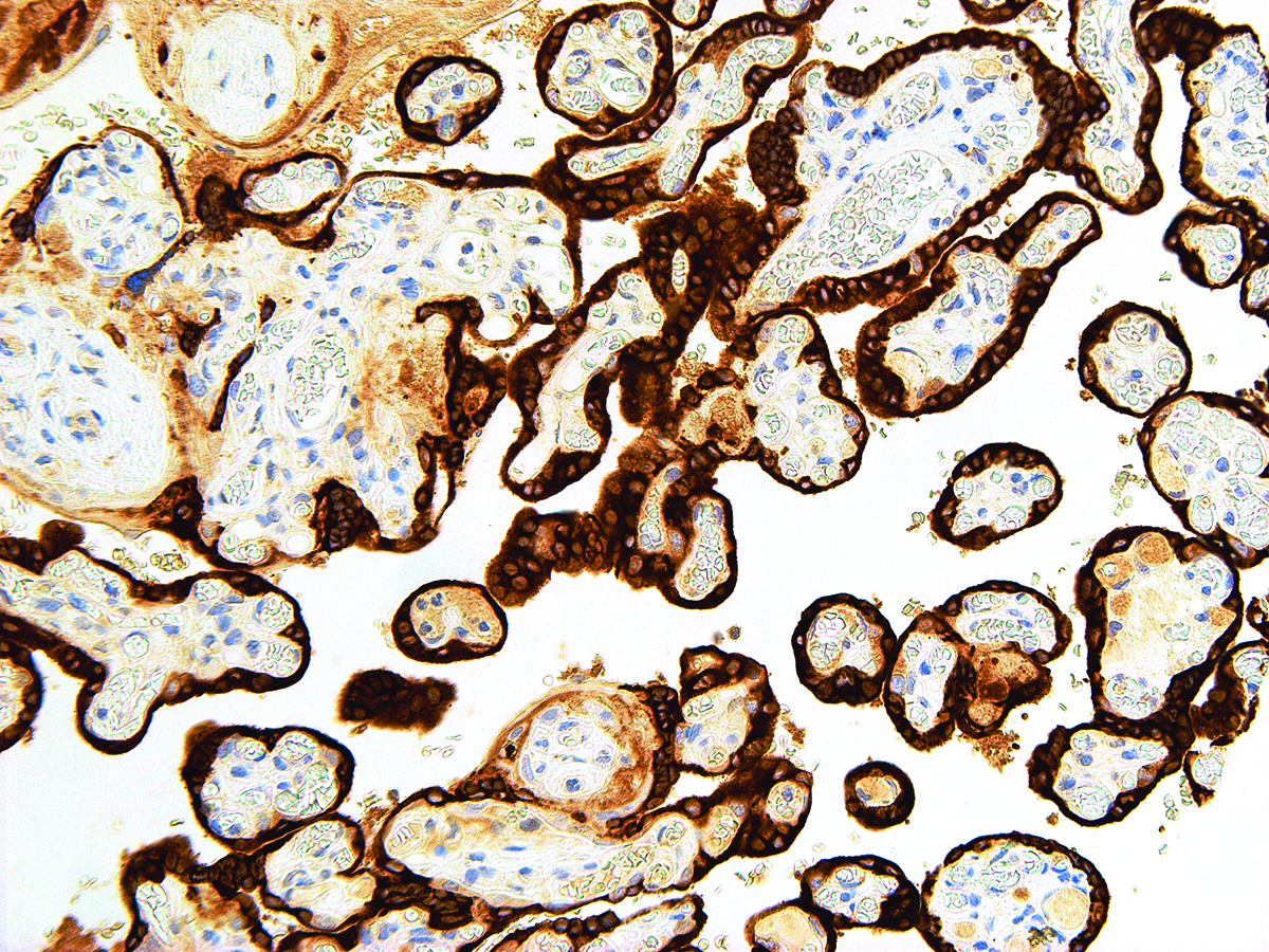
| Positive Control | Placenta |
| Dilution Range | 1:50-1:200 |
Description
Human Chorionic Gonadotropin (hCG) is a glycoprotein hormone produced by the trophoblastic cells of the placenta after conception. Anti-hCG is useful for identifying trophoblastic tumors, such as choriocarcinoma. hCG is also a marker for non-trophoblastic tumors such as large cell carcinoma and lung adenocarcinoma.
'Genomeme' 카테고리의 다른 글
| [Genomeme] COX-2 (0) | 2021.05.12 |
|---|---|
| [Genomene] GLUT1 (0) | 2021.04.13 |
| [Genomene] CA-125 (0) | 2020.12.18 |
| [Genomeme] Annexin A1 (0) | 2020.09.14 |
| [Genomeme] CD5 (0) | 2020.08.21 |