[Zeta Corperation] SOX10 Monoclonal Antibody IVD

Anti-mouse: clone ZM10, Cat # Z2293
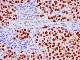
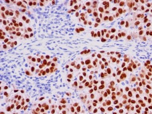
"Sry-related HMG box (SOX) genes encode a key group of transcription factors. SOX-10 plays an important role in the late stage of neural crest formation, maintenance of multipotency of neural crest cells as a stem cell, and specification of derivative cell fates to schwannian and melanocytic destination. In normal tissue, SOX-10 is expressed in Schwann cells, melanocytes, and myoepithelial cells of salivary and breast glands. It is also expressed in neural crest-derived tumors, including various types of malignant melanoma, clear cell sarcoma, neuroblastoma, schwannoma, and malignant nerve sheath tumor. In comparison to other markers, SOX-10 is especially sensitive for desmoplastic and spindle cell malignant melanomas. In nonmelanocytic tumors, SOX-10 stains more carcinoid tumors, nerve sheath tumors, myoepithelial tumors, and sustentacular cells of pheochromocytomas and paragangliomas.
'기타' 카테고리의 다른 글
| [CTK Biotech] HIV 1+2 Ab ELISA (0) | 2020.08.04 |
|---|---|
| [ElisaKits] B-CELL ACTIVATING FACTOR (BAFF) ELISA KIT (0) | 2020.07.29 |
| [Cusabio] Human Interleukin 18,IL-18 ELISA KIT (0) | 2020.07.21 |
| [Elisa Kits] 2-CAT (ADRENALINE/NORADRENALINE) RESEARCH ELISA KIT (0) | 2020.07.15 |
| [Cusabio] Mouse low density lipoprotein receptor,LDLR ELISA Kit (1) | 2020.07.15 |