[Zeta Corporation] AMACR

Species Reactivity:
Humans; others not tested
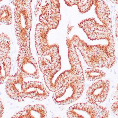
AMACR (P504S) is an essential enzyme in the b-oxidation of branched-chain fatty acids. Recently, AMACR (P504S) was identified through cDNA library subtraction and microarrays in malignant prostate tissues. High expression of AMACR (P504S) protein is found in prostatic adenocarcinoma but not in benign prostatic tissue by immunohistochemical staining in paraffin-embedded tissues. The expression of AMACR (P504S) is also detected in two premalignant lesions of the prostate: high-grade prostatic intraepithelial neoplasia (PIN) and atypical adenomatous hyperplasia. Using AMACR (P504S) as a positive marker along with basal cell staining (34bE12 or P63) as a negative marker could help to confirm the diagnosis of small focus of prostate carcinoma on needle biopsy.
'Zeta Corporation' 카테고리의 다른 글
| [Zeta Corporation] CD19 (0) | 2022.11.09 |
|---|---|
| [Zeta Corporation] IgA (Poly) Rabbit Polyclonal Antibody (0) | 2020.08.18 |