[Genomeme] BRAF V600E

Specifications
CLONE:
IHC600
ISOTYPE:
IgG2b
HOST SPECIES:
Mouse
CLONALITY:
Monoclonal
POSITIVE CONTROL:
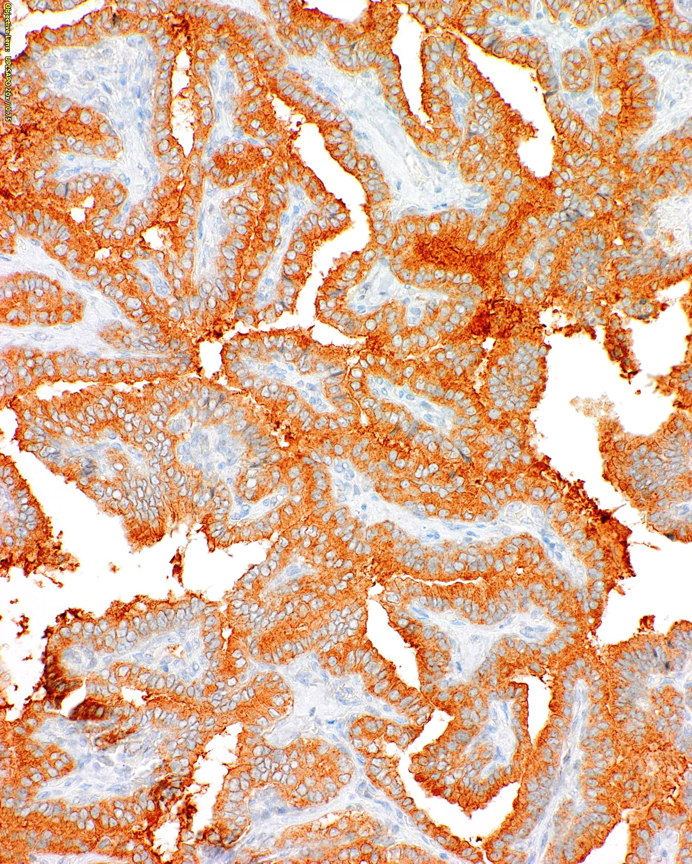
Colorectal Adenocarcinoma, Thyroid Papillary Carcinoma with the BRAF V600E Mutation
DILUTION RANGE:
INTENDED USE/REG. STATUS:
CE-IVD
Serine/Threonine-Protein Kinase B-Raf (BRAF) is a cytoplasmic serine-threonine kinase of the RAF family, which mediates downstream cellular responses to growth signals through the mitogen-activated protein kinase (MAPK) signaling pathway. Oncogenic mutations in the BRAF gene, 80% of which are a single V600E substitution within the kinase domain, constitutively activate the MAPK signaling pathway and result in increased cell proliferation and apoptosis resistance. The V600E mutation is observed in colorectal cancer, non-Hodgkin's lymphoma, papillary thyroid carcinoma, malignant melanoma, non-small-cell lung carcinoma, and lung adenocarcinoma. BRAF V600E is therefore an important immunohistochemical marker for tumour diagnosis and prognosis.
'Genomeme' 카테고리의 다른 글
| [Genomeme] EGFR (0) | 2022.06.02 |
|---|---|
| [Genomeme] CD63 (0) | 2022.02.15 |
| [Genomeme] AKR1B10 (0) | 2022.01.13 |
| [Genomeme] B7-H4 (0) | 2021.12.22 |
| [Genomeme] CD23 (0) | 2021.09.24 |