[Genomeme] Helicobacter pylori

CAT. NO. IHC416-7
Specifications
CLONE:
IHC416
ISOTYPE:
IgG
HOST SPECIES:
Rabbit
CLONALITY:
Monoclonal
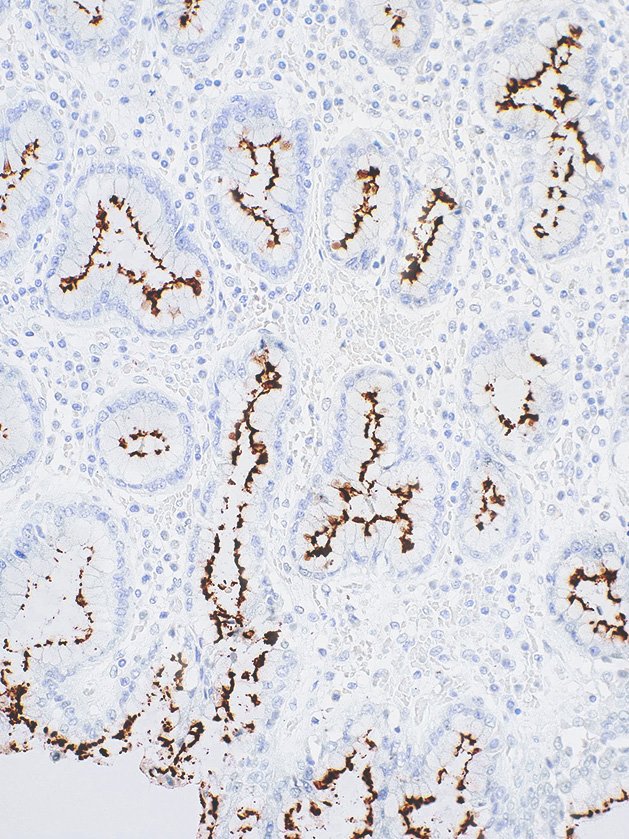
POSITIVE CONTROL:
H. pylori infected stomach tissue
DILUTION RANGE:
1:200
INTENDED USE/REG. STATUS:
CE-IVD
Helicobacter pylori are spiral-shaped, gram-negative bacteria that inhabit the mucosal lining of the gastric epithelium. Infection with H. pylori is strongly associated with many gastroduodenal diseases, including intestinal-type carcinomas, peptic and gastric ulcers, and chronic gastritis. There is evidence linking these bacteria to gastric and mucosa-associated lymphoid tissue lymphomas, and H. pylori has also been indicated as a risk factor for colorectal polyps in children.
'Genomeme' 카테고리의 다른 글
| [Genomeme] CD23 (0) | 2021.09.24 |
|---|---|
| [Genomeme] BCL6 (0) | 2021.09.09 |
| [Genomeme] Annexin A1 (0) | 2021.07.08 |
| [Genomeme] CD57 (0) | 2021.06.09 |
| [Genomeme] COX-2 (0) | 2021.05.12 |