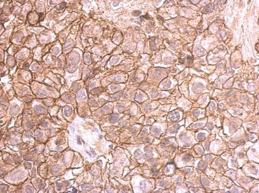
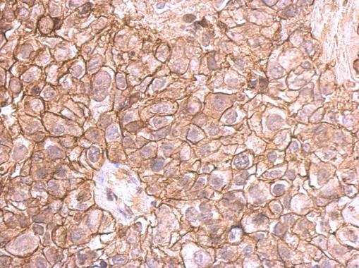
[German Research Products - GRP] E-Cadherin antibody

Catalog Number: GRP7
| E-Cadherin antibody |
| GRP7 |
| Rabbit |
| Human, Mouse, Rat, Zebrafish |
| Unconjugated |
| ICC, IF, IHC-P, IP, WB |
| Recombinant protein encompassing a sequence within the center region of human E-Cadherin. The exact sequence is proprietary. |
This gene is a classical cadherin from the cadherin superfamily. The encoded protein is a calcium dependent cell-cell adhesion glycoprotein comprised of five extracellular cadherin repeats, a transmembrane region and a highly conserved cytoplasmic tail. Mutations in this gene are correlated with gastric, breast, colorectal, thyroid and ovarian cancer. Loss of function is thought to contribute to progression in cancer by increasing proliferation, invasion, and/or metastasis. The ectodomain of this protein mediates bacterial adhesion to mammalian cells and the cytoplasmic domain is required for internalization. Identified transcript variants arise from mutation at consensus splice sites. [provided by RefSeq]